LES CERAMIQUES AU CENTRE DENTAIRE DES ARCEAUX DE MONTPELLIER
Les céramiques dentaires:
Dans les règles de l'art, les céramiques modernes permettent de réaliser des "fausses dents" impossibles à distinguer.
Le Centre Dentaire des Arceaux a développé une approche systématique permettant d'assurer des résultats extèmement esthétiques avec des céramiques.
Analyse, préparation, validation et finition sont les fondations de l'approche systématique du Centre Dentaire des Arceaux pour obtenir des céramiques parfaitement intégrées sur le plan esthétique.
Leurs indications:
des couronnes existantes inesthétiques
des dents naturelles carriées
des dents naturelles ou des couronnes mal placées et inesthétiques
des triangles noirs entre les dents dus à des maladies gingivales
des dents vivantes ou dévitalisées, avec ou sans tenons
Le traitement:
1-Séances préliminaires:
Les céramiques ne sont réalisées que lorsque santé et position gingivales sont bonnes, lorsque toutes les infections dans (endodontie) ou autour des dents (parodontie) sont traitées.
la santé gingivale est obtenue
la position gingivale peut être travaillée chirurgicalement. Les gencives peuvent être descendues ou remontées au millimètre près si nécessaire
les infections dans les racines ou autour sont traitées
la qualité du support de chaque céramique est évalué et validé AVANT de faire la céramique
2-Séances pour les céramiques: (entre 1 et 5 séances en fonction des cas)
dépose des anciennes céramiques, pose de dents provisoires esthétiques en résine composite, empreintes
essayage esthétique pour valider l'aspect AVANT la finition de la céramique, si nécessaire
pose des céramiques définitives
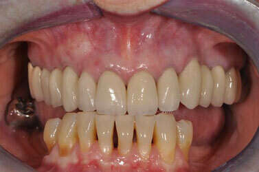
Quelques exemples:
Céramiques pour traitement de carries multiples
