CABINET DENTAIRE DES ARCEAUX
CHIRURGIENS-DENTISTES À MONTPELLIER
10 rue Paladilhe, 34000 MONTPELLIER
+33 4 99 23 22 32
CABINET DENTAIRE DES ARCEAUX
CHIRURGIENS-DENTISTES À MONTPELLIER

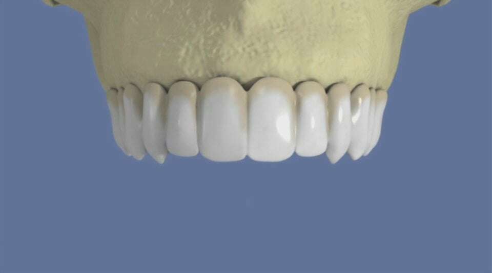
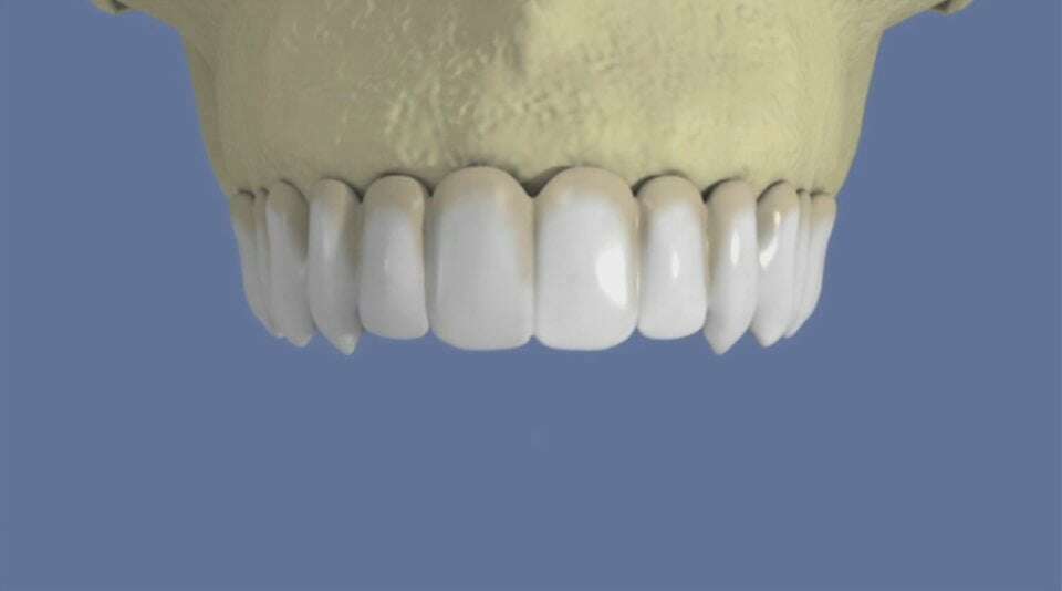
Maxillaire : bridge vissé sans fausse gencive


video-play-icon

Articles similaires

Création par Webdentiste

Connexion